Прыщи нельзя игнорировать. Они говорят о том, что что-то идёт неправильно.
Откуда берутся прыщи на спине
У такой неприятной ситуации, как прыщи на спине, причин по большому счёту всего две: внешняя и внутренняя. Ну а дальше, как водится, есть нюансы.
Внешние причины
Речь о тех случаях, когда высыпания становятся воспалительной реакцией кожи на неблагоприятное окружение. Чаще всего к такой реакции приводят :
- Недостаточная гигиена. На коже в зоне лопаток много сальных желёз. Кожное сало является отличной питательной средой для размножения различных бактерий, которые и вызывают прыщи. У кого-то жира вырабатывается меньше, у кого-то больше. И если вы относитесь ко второй категории, важно подходить к гигиене спины тщательнее.
- Синтетическая одежда. Если одежда из натуральных тканей хорошо отводит влагу и позволяет коже дышать, то синтетика зачастую играет роль своеобразного термоса. Из-за плохой вентиляции мы активнее потеем, пот остаётся на коже и, как и жир, улучшает самочувствие и личную жизнь микробов. Со всеми вытекающими.
- Слишком облегающие плотные футболки и свитера. Они могут буквально втирать грязь и пот в поры.
- Распущенные волосы. Они делятся собственными грязью и жиром с кожей спины. Кроме того, кончики волос раздражают кожу, заставляя её вырабатывать избыточные порции сала.
- Использование неподходящего крема или лосьона. Например, излишне жирное солнцезащитное средство может прекрасно беречь спину от солнечных лучей, но при этом безбожно забивать поры, увеличивая риск воспалений.
На самом деле это не полный перечень внешних причин. Наука честно признаётся, что не всегда может отловить ситуации, которые являются предпосылками сыпи. Это связано и с индивидуальными особенностями каждого человека и с тем, что порой прыщи возникают по, казалось бы, совершенно смехотворным поводам . Например, их причиной может стать обычный рюкзак или же ваша любовь к езде на машине (сиденье давит на спину, раздражает кожу — и вот вы уже обладатель акне).
Внутренние причины
В их числе медики упоминают :
- Генетику. Предрасположенность к акне нередко достаётся от родителей.
- Изменения гормонального фона. Прыщи на спине и плечах у многих возникают в подростковые годы — это связано с перестройкой организма. У женщин акне также могут быть вызваны гормональными скачками во время менструации и беременности.
- Стресс. Эмоциональные нагрузки не вызывают сыпь непосредственно. Однако они могут влиять на гормональный фон или иммунную систему, которые, в свою очередь, уже провоцируют высыпания.
- Особенности питания. Под подозрение попадают продукты с высоким гликемическим индексом (с их списком вы можете ознакомиться здесь) и молочка. Не то чтобы связь между рационом и прыщами на спине была доказана однозначно, но исследования Американской академии дерматологии показывают: диета помогает избавиться от акне.
- Побочные эффекты лекарств. Так, к высыпаниям может приводить приём некоторых антидепрессантов.
- Скрытые заболевания. Эндокринные нарушения (диабет), сбои в работе печени (гепатиты), мочеполовой системы, желудочно-кишечного тракта — всё это может проявляться сыпью.
Как избавиться от прыщей на спине простыми способами
Бывает, что причины возникновения сыпи практически очевидны. Достаточно проанализировать перемены в образе жизни, которые предшествовали появлению акне. Возможно, вы стали активнее тренироваться? Или в вашем гардеробе появилась вещь, из которой вы не вылезаете? А может, вы начали пользоваться новыми средствами для ухода за кожей тела?
Если у вас на примете оказался подобный триггер, попробуйте на время исключить его (отложите удобное платье или свитер, вернитесь к привычной косметике) и проследите за состоянием кожи. Улучшения дадут однозначный ответ.
Если очевидной причины нет, действовать надо комплексно. Вот что медики рекомендуют предпринимать в первую очередь.
1. Чаще принимайте душ
Обязательно — после каждой тренировки. Если вы просто вспотели, тоже по возможности сбегайте в душ или хотя бы протрите спину влажными салфетками.
2. Используйте антибактериальное мыло или гель
Такие средства хорошо очищают поры от загрязнений. Если ваша кожа не чувствительная, можно попробовать и тяжёлую артиллерию — очищающие средства с салициловой кислотой или бензоилпероксидом в составе.
Хорошо зарекомендовала себя и косметика с маслом чайного дерева.
3. Сделайте высокую или короткую причёску
Ваша цель — убрать раздражающие волосы со спины.
https://youtube.com/watch?v=-7FsmNHM2m0
Кстати, когда моете голову, старайтесь, чтобы кондиционер или бальзам не стекали по плечам и лопаткам: такие средства могут забивать поры.
4. Откажитесь от жирных средств для ухода за телом
В том числе это касается солнцезащитных кремов и питательных лосьонов. По крайней мере для спины используйте максимально лёгкие увлажняющие продукты.
16 лучших солнцезащитных средств для лица и тела →
5. Переодевайтесь, если вспотели
Ездите в жаркой маршрутке или активно бегаете по офисным делам, но возможности принять душ на работе нет? Тогда возите с собой сменное платье, футболку, рубашку и переодевайтесь, как только вспотеете. Важно действовать быстро: чем дольше влага контактирует с кожей, тем выше риск появления новых прыщей.
6. Носите свободную одежду из натуральных тканей
Дышащие и влагоотводящие свойства хлопка и льна в этом случае трудно переоценить.
7. Пересмотрите рацион
Постарайтесь исключить продукты с высоким гликемическим индексом: белый хлеб, макароны, выпечку, картофель… Пусть их место займут овощи, фрукты, постное мясо, цельнозерновой хлеб и каши.
https://youtube.com/watch?v=y7WYVwML-gA
15 необычных овощных салатов →
8. Проанализируйте лекарства, которые вы принимаете
Если высыпания значатся в списке возможных побочных эффектов, посоветуйтесь с лечащим врачом. Возможно, он подберёт для вас альтернативный препарат.
9. Позвольте себе расслабиться
Бывает и так: чем меньше стресса — тем меньше прыщей. Может, это ваш случай?
Как снять стресс и обрести душевное равновесие →
Как лечить прыщи на спине
К сожалению, простые средства помогают не всегда. Если вы скорректировали образ жизни, однако в течение недели-двух количество прыщей не уменьшилось, обязательно обратитесь к терапевту или дерматологу. Возможно, сыпь — симптом нарушений в работе организма.
Медик подробно расспросит вас об образе жизни и здоровье, а также попросит сдать анализ крови (опционально — сделать соскоб). По результатам исследований будет назначено дальнейшее лечение.
Прыщи на спине могут быть одним из первых симптомов диабета или гепатитов.
Если анализы показали, что со здоровьем внутренних органов всё окей, дерматолог может назначить вот что:
- Лечебные кремы и мази. Существует много препаратов для наружного применения, которые помогают обуздать акне. Некоторые из них борются с чрезмерной выработкой кожного сала, другие эффективно убивают бактерии. Такие средства могут содержать как уже упомянутые салициловую кислоту и бензоилпероксид, так и более мощные ингредиенты вроде ретиноидов и антибиотиков.
- Таблетки. Они воздействуют не только на кожу, но и на весь организм изнутри. Это могут быть антибиотики, гормональные препараты (например, противозачаточные средства), изотретиноин (биоактивная форма витамина А). Здесь важно помнить: у этих препаратов может быть довольно серьёзная побочка, поэтому самолечение недопустимо!
- Лазерные процедуры. С помощью специального прибора, генерирующего лазерный луч определённой интенсивности, медик разрушает скопления микробов под кожей. И количество прыщей уменьшается.
- Химические пилинги. Их основное действующее вещество — кислота в той или иной концентрации. Пилинг позволяет довольно безболезненно снять поражённый верхний слой кожи, выровнять её рельеф.
- Дренажные процедуры. Они помогают вывести наружу содержимое кист — гнойных образований глубоко в коже.
Какой из видов процедур будет эффективен именно в вашем случае, подскажет врач. И ещё раз повторим: не занимайтесь самолечением, чтобы не усугубить ситуацию и не проморгать серьёзное заболевание.
Источник
Какие продукты питания могут вызвать акне на спине, к какому врачу стоит обращаться с этой проблемой и почему одежда из хлопка и солнцезащитный крем станут вашими лучшими друзьями этим летом? BeautyHack узнал у дерматолога Светланы Якубовской (@sovetydermatologa), как раз и навсегда избавиться от прыщей на спине.
Казалось бы — прыщи на спине не так страшны, как на лице, ведь они не на виду. В холодное время года — возможно, но с приходом сезона открытой одежды и пляжного отдыха эта проблема становится крайне актуальной. Нередко угревая сыпь на спине сочетается с высыпаниями на лице, но бывают и случаи, когда кожа страдает от акне только в одной зоне. Усугубить ситуацию может и плотная одежда, и более интенсивное потоотделение — ведь спина потеет сильнее, чем лицо. Именно поэтому процесс лечения может сильно замедляться в связи с этими важными особенностями.
Причины появления прыщей на спине
Генетика и гормональные сбои
Главной причиной появления прыщей на спине считается чересчур активная работа сальных желез. А эта проблема может появиться на фоне генетических факторов — когда, например, имеется повышенная чувствительность сальных желез к секретируемым даже в нормальном количестве половым гормонам. Привести к этому могут и гормональные сбои, в результате которых уровень половых гормонов действительно повышается, что также стимулирует выработку кожного сала.
Неправильное питание
Врачи доказали, что две категории продуктов питания могут провоцировать появление прыщей как на лице, так и на спине: это высокоуглеводистая пища в виде сладостей, жареной картошки, гамбургеров, газировки и прочего фастфуда, а также молоко и молочные продукты. Зато есть исследования, что средиземноморский тип питания, то есть большое содержание в рационе рыбы и зелени, улучшает состояние кожи и способно уменьшить количество прыщей.
Внешние факторы
Необходимо помнить, что кожа на спине часто страдает от трения (одежда, рюкзаки и так далее), а в некоторых случаях и от неправильного ухода, в результате чего микробы быстрее размножаются. Поры может забить стекающий по спине шампунь или кондиционер (если вы моете голову, запрокинув ее назад), а также слишком жирный крем для тела. И банальные правила гигиены тоже никто не отменял.
При наличии такой проблемы стоит в первую очередь обратиться к дерматологу. Не нужно сразу искать причины в кишечнике, желудке и прочих внутренних органах. Причина акне намного проще в своем патогенезе и этиологии — да, внешние факторы и неправильный уход за кожей могут оказывать свое влияние, но вряд ли истинной причиной станет ваш гастрит или проблемы с пищеварением.
Конечно, акне вызывает эстетический дискомфорт — гнойничковые высыпания, рубцы и пятна особенно мешают летом, когда хочется надеть открытый наряд или просто выйти на пляж. Поэтому лечение лучше начинать на начальном этапе, а не когда вся спина «цветет».
Игнорирование проблемы может привести и к распространению высыпаний — образованию узлов, крупных подкожных элементов. Это и результат пренебрежения лечением, когда имеются серьезные нарушения в работе сальных желез. Молодые люди и подростки часто списывают все на гормоны — но ждать, когда все пройдет самостоятельно, не выход.
Методы борьбы с прыщами на спине
В домашних условиях
На вопрос — можно ли избавиться от прыщей самостоятельно — ответ один: да, можно, если вы специалист с медицинским образованием и, желательно, дерматолог или косметолог. Не нужно лечиться на форумах в интернете, советоваться с соседом по лестничной клетке или просить помощи у близких друзей — то, что подошло одному человеку, необязательно «исцелит» и вас. А самостоятельное применение лекарственных средств чревато провалом для вас и дополнительными сложностями для врача, который вами так или иначе будет заниматься.
В домашних условиях в помощь пойдут специальные средства для очищения — мы ведь используем особые средства для очищения проблемной кожи лица, поэтому на спину это тоже распространяется. Я рекомендую обратить особое внимание на гели для очищения с салициловой кислотой, маслом чайного дерева, а также бензоил пероксидом.
Если того требует клиническая картина, то врач может назначить наружные ретиноиды. Применяются они в форме мазей, кремов и гелей — и использовать их нужно однократно вечером на протяжении не менее трех месяцев. При значительном количестве высыпаний рекомендуется использовать точечные средства с антибиотиком в составе — например, с Кларитромицином или Эритромицином.
Косметология
Очень важно понимать, что процесс лечения акне может быть длительным, особенно, если вы ходили с прыщами годами. Ни один врач не в состоянии сотворить волшебство и избавить вас от высыпаний раз и навсегда за пару недель. Улучшить картину можно, но чтобы полностью очистить спину, потребуется много времени. К этому нужно быть готовым.
Вместо того, чтобы выдавливать высыпания, сходите на гигиеническую чистку к косметологу — да, она проводится и в области спины. А еще на эту часть тела тоже можно применять подсушивающие маски и делать пилинги — например, с кислотами. Другой вариант — фотолечение, во время которого бактерии, вызывающие акне, погибают под воздействием специального излучения. Оно же помогает коже быстрее восстановиться после лечения. Разумеется, это удобнее и правильнее делать под чутким руководством профессионала.
Каких ошибок следует избегать?
Не выдавливайте и не пересушивайте прыщи
Подсушить гнойнички на спине, как и на лице, любят все — но важно помнить, если если вы делаете это постоянно, то просто разрушаете защитный липидный барьер кожи, в результате чего он ослабевает и становится более подверженным влиянию патогенной микрофлоры. Помимо этого наши сальные железы начинают активнее продуцировать кожное салон в ответ на «пересушивание». Получается замкнутый круг — кожа сохнет, а лицо блестит все сильнее и сильнее.
Не увлекайтесь скрабами
Если на коже есть гнойнички, абразивные частицы только еще больше повредят кожу и разнесут инфекцию дальше по всей спине. Если акне на начальном этапе, используйте мягкие скрабы перед гелем для душа, чтобы избавиться от ороговевших клеток и открыть поры. Но в любом случае, использовать такие средства нужно не чаще раза в неделю.
Носите одежду из хлопка
Особенно во время спортивных тренировок и в жаркие дни. Одежда должна быть из стопроцентного хлопка — простая и комфортная, не прилегающая плотно к коже. И обязательно стирайте вещи чаще, чтобы остатки пота и бактерий не оседали на коже и не запускали вновь воспалительный процесс. Возьмите за правило менять футболку сразу после тренировки или если сильно вспотеете.
Избегайте трения
Если с проблемой акне на спине вы знакомы не понаслышке, не носите на спине рюкзаки и сумки — так они не будут раздражать кожу, заставлять вас потеть и усугублять состояние. То же самое касается и волос — в жару лучше сделать высокий пучок, чтобы избежать трения.
Не забывайте о защите от солнца
Многие считают, что солнце лечит акне. Если честно, оно просто маскирует ваши высыпания и пятнышки, зато потом прыщи возникают вновь и нередко с двойной силой. Запомните, что солнце вам не друг, и наносите солнцезащитный крем. Те, что подходят для лица, сгодятся и для спине — но не наоборот. И, конечно, отдавайте предпочтение средствам для жирной кожи.
Помните, что любое заболевание проще и быстрее остановить на начальном этапе, а не когда она запущена.
Берегите красоту и здоровье кожи!
Источник
Считается, что самое любимое место прыщей – это лицо. Кожу лица мы ежедневно рассматриваем в зеркале в поиске всевозможных изъянов. Но, если бы у нас была возможность так же часто видеть свою спину, мы бы, наверняка, отдали пальму первенства по «прыщавости» именно ей.
Дело в том, что на спине не меньше жировых и потовых желез, чем на лице, а сама кожа плотнее и толще.
Ее поры очень быстро закупориваются сальным секретом и воспаляются, образуя прыщи всевозможных видов и размеров.
Причины появления
Прыщи на спине – результат усиленной работы потожировых желез, с одной стороны, и внешних факторов – с другой.
Прежде всего, стоит обратить внимание на вид прыщей.
Если это множественные мелкие высыпания, можно предположить, что их причиной являются погрешности в гигиене и банальное раздражение.
Более «серьезные» прыщи – повод задуматься о здоровье организма.
Раздражение
Мелкая сыпь – спутник синтетических тканей, плохо отводящих от тела влагу и не пропускающих воздух. Спина буквально «задыхается» под одеждой, в ответ недовольная кожа реагирует сыпью, которая проходит, стоит лишь устранить провоцирующие факторы.
Аллергия
Вторая причина высыпаний – реакция на косметические продукты. Пены для ванны, гели для душа, увлажнители для тела – весь этот многочисленный бьюти-арсенал может принести коже больше вреда, чем пользы.
Возможные причины:
- Возможна аллергия на какие-либо компоненты в их составе.
- Средства для тела часто обладают комедогенным эффектом: вместо того чтобы очищать кожу, они еще больше забивает поры силиконами и маслами.
- Неправильно подобранный уход способен вызвать негативную реакцию кожи: неподходящее по жирности, консистенции косметическое средство создает на поверхности спины питательную среду для размножения бактерий.
Если на спине резко высыпали прыщики, стоит подумать, какой из флаконов и тюбиков, стоящих на полочке в ванной, мог их спровоцировать. Если дело действительно в этом, после отмены средства кожа спины должна очиститься от сыпи.
Неправильное питание
Не секрет, что здоровое питание идет на пользу всему организму, а злоупотребление «вредностями», напротив, способствует его загрязнению.
Пытаясь избавиться от накопившихся токсинов, наше тело усиливает очищение через выделительную систему, самый большой орган которой – кожные покровы.
Кожа спины, буквально напичканная железами, становится более жирной и покрывается плотными прыщами: подкожниками, жировиками, гнойничками.
Внутренние проблемы
Кожа чутко реагирует на изменения в организме.
При заболеваниях желудочно-кишечной, эндокринной, мочеполовой систем прыщи являются внешним индикатором нарушений.
Любая из дисфункций внутренних органов может спровоцировать ухудшение состояния кожи.
Лечить прыщи местными средствами в таком случае бесполезно.
Самое правильное решение – выявить причину и вылечить основное заболевание, тогда прыщи на спине, как сопутствующее явление, перестанут досаждать своему владельцу. Нелишним будет напомнить, что самодиагностикой заниматься не стоит, для этого есть врачи.
Дополнительно усугубляют проблему с прыщами на спине:
- стрессы, вызывающие колебания гормонального фона;
- жара, пыль и влажность;
- увлечение загаром;
- тяжелый физический труд и интенсивные тренировки;
- выдавливание прыщей.
Виды прыщей на спине
Прыщи на спине начинаются с закупорки кожной поры жировыми массами.
Дальнейшее развитие может идти по двум направлениям: угревому (закрытые и открытые комедоны) или воспалительному (собственно прыщики).
Подкожные прыщи
Кожа спины – одно из мест, где часто локализуются «подкожники». Они относятся к закрытым комедонам.
Скопление роговых частичек полностью блокирует пору, перекрывая выход на поверхность для сального секрета.
В результате жир скапливается под кожей, постепенно уплотняясь и образуя внутреннюю кисту.
Такой прыщ, не соприкасаясь с воздухом и внешними бактериями, может долгое время существовать в «спящем» режиме.
Толчком к воспалению подкожного прыща может стать попытка его выдавить или развитие анаэробных микробов.
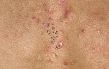
Черные точки
Черные прыщи на спине, или открытые комедоны, – еще одно проявление угревой болезни.
К возникновению таких высыпаний предрасположены люди с жирной кожей и себореей.
Собираясь в устье волосяного фолликула, кожное сало смешивается с грязью, потом, частичками омертвевшей кожи и перекрывает пору. Соприкасаясь с воздухом, жировой шарик окисляется и приобретает темную окраску.
Выглядит такой угорь как большая черная точка.
При попадании бактерий может начаться воспаление, которое приводит к возникновению красного прыща на поверхности кожи.
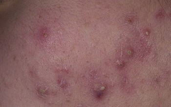
Красные прыщи на спине
Красный прыщ – результат бактериального процесса в угревой полости.
Комедон воспаляется, из него формируется конусообразный прыщ с гнойной головкой.
Переход черных точек в стадию красного прыща на спине происходит нередко, так как жировая секреция в этой зоне очень активна.
Такой прыщ со временем вскрывается, а при своевременном лечении его содержимое рассасывается, не оставляя после себя следов.
Если воспалительный процесс в красном прыще продолжается, на его месте образуется гнойная киста.
Гнойные прыщи
Обычный красный угорь рискует превратиться в гнойное образование, если его вовремя не устранить.
На спине гнойники могут приобретать огромные размеры, так как предотвратить развитие воспаления не всегда получается. Спина – не самое удобное место для самостоятельного лечения прыщей, без чужой помощи здесь не обойтись.
Поэтому и возникают запущенные случаи из, казалось бы, маленького безобидного прыщика.
Лечение гнойника лучше доверить специалисту. Гной нужно устранить, пока он не прорвался и не попал в кровоток, разнося инфекцию по всему организму.
Чтобы погасить воспаление полностью, понадобится прием антибиотиков и местная противомикробная терапия.
Все возрасты покорны
Прыщи на спине могут возникать и у взрослых, и у детей, но появляются они по разным причинам.
На детской спине
Любые высыпания на коже у детей – повод для пристального внимания.
Если сыпь сопровождается температурой, беспокойством ребенка, не стоит самостоятельно ставить диагнозы и заниматься самолечением.
Прыщами у детей могут проявляться опасные заболевания.
Самая безобидная сыпь на спине ребенка – это потница, которая появляется от перегрева и раздражения потом.
Красной сыпью, волдырями, пятнами может отреагировать кожа ребенка на аллергены: продукты, пыль, шерсть животных, бытовую химию и так далее. После устранения провокатора, приема антигистаминов высыпания на спине должны пойти на убыль, но ребенка все равно нужно показать врачу, чтобы выявить аллерген и предотвратить рецидивы.
Прыщи у ребенка на спине могут быть признаком ветрянки, скарлатины, везикулопустулеза и ряда других опасных и заразных заболеваний.
Лучшее и единственное решение при появлении у малыша кожных высыпаний – немедленно вызвать педиатра.
По мере роста ребенка причин для кожных высыпаний у него становится все меньше.
У подростков
Взросление приносит новую проблему – юношескую угревую сыпь.
Подростка 11-12 лет нужно обязательно обучить мерам профилактики юношеских прыщей и правильному уходу за кожей.
Если лицом он вполне сможет заниматься самостоятельно, то со спиной лучше ему помочь, чтобы не запустить процесс.
Ребенку необходимо купить удобную мочалку для спины. Лучше пользоваться антибактериальным гелем (раз в день), в остальное время – дегтярным мылом.
После душа прыщи смазывают противоугревыми мазями. При соблюдении чистоты прыщи на спине у подростка можно успешно держать под контролем.
Гормональная перестройка, связанная с половым созреванием, заканчивается к 16 – 18 годам. После этого наличие юношеских угрей уже не является нормой. Если после 20 спина все еще усыпана прыщами, за них стоит взяться серьезно.
У мужчин
По статистике у мужчин на спине прыщи возникают чаще, чем у женщин.
- От природы кожа на мужской спине жирнее и толще, поэтому и процесс салоотделения идет интенсивней.
- Мужчины сильно потеют даже в состоянии покоя.
- Образ жизни большинства представителей сильного пола далек от здорового: стрессы и недосыпание, алкоголь и курение, питание фастфудом, кофе и газировка в конечном итоге заканчиваются прыщами на спине и плечах.
- Мужчины часто пренебрегают своим здоровьем, не обращают внимания на «звоночки» внутренних органов, до последнего не обращаясь к врачу. Одним из сигналов о неполадках в организме и являются прыщи на спине, особенно гнойные.
- Еще одна особенность – на спине у мужчин имеется оволосение. Прыщи формируются в волосяных мешочках, и именно на мужской спине им есть где разгуляться.
Зачастую, стоит мужчине наладить режим питания, как высыпания сами сходят на нет.
Если этого не происходит, начать лечение можно с приема витаминов (особенно налегать на B5) и проверки гормонального фона.
Прыщи на женской спинке
Девушки тщательно ухаживают за кожей тела.
Прекрасно разбираются в косметике, интересуются ее составами, стараются соблюдать диету и следить за своим здоровьем.
Но и у них частенько противные прыщи на спине портят «идеальную» картину. И любовь к шоколаду не является причиной высыпаний, она всего лишь усложняет уже имеющуюся проблему в организме.
Первенство держат гинекологические заболевания и изменения гормонального статуса в связи с естественными процессами.
Девушки отмечают появление высыпаний на спине накануне и во время месячных. Беременные женщины часто страдают от прыщиков на лице и теле. Гормональные сбои вследствие абортов тоже повышают жирность кожи.
Избыток тестостерона в женском теле – главный провокатор прыщавости.
Эта патология говорит о наличии таких проблем, как поликистоз яичников, гиперандрогения. Часто эти болезни сопровождаются излишним весом и оволосением по мужскому типу.
Распространенное лечение таких проблем – прием противозачаточных средств с антиандрогенным эффектом, строгая диета под контролем гинеколога.
Как избавится от прыщей на спине?
Удалить прыщи на спине помогают те же средства, что и на коже других участков.
Начать можно с «подручных» домашних средств.
- На время отказаться от косметики для тела, спину мыть дегтярным и антибактериальным мылом.
- Для очищения кожи спины полезно принимать ванны с морской солью, отварами трав (ромашка, шалфей), можно искупаться в слабом растворе марганцовки.
- Кожу спины протирать спиртовой настойкой календулы, перекисью водорода, аптечными лосьонами с салициловой кислотой.
- Эффективным средством для прижигания отдельных прыщиков является масло чайного дерева, оно безопасно даже для нежной детской кожи.
- Большие гнойные прыщи можно «вытягивать» при помощи алоэ: срезанный лист выдержать неделю в холодильнике, перед применением отломать нужный кусочек или выдавить сок и сделать примочку.
- Сок чистотела является универсальным средством борьбы с кожными дефектами, и прыщи на спине – не исключение. Отвар из травы или корней чистотела добавить в воду для ополаскивания спины.
Если народные средства бессильны, существует множество фармакологических препаратов: противоугревые средства (Зинерит, Дифферин, Ретин-А), которые содержат в своем составе антибактериальные препараты и ретиноиды.
Эффективно лечение кожи спины у косметолога: ручная или аппаратная чистка, процедуры, способствующие заживлению прыщей.
Общие рекомендации, которые позволяют избавиться от прыщей на спине:
- Соблюдать диету.
- Почистить организм (прием сорбентов), восстановить микрофлору кишечника (пробиотики), помочь своей печени при помощи гепатопротекторов (Эссенциале), для поджулодочной – ферменты (Мезим, Панкреатин).
- Заняться лечением, устранить хронические очаги инфекции в организме.
- Выполнять мероприятия, предписанные дерматологом, применять средства местного лечения (мази, лосьоны, маски, ванны).
- Тяжелые прыщи лечатся приемом антибиотиков и средствами на основе ретиноидов, но исключительно по назначению и под контролем врача-дерматолога.
Прыщи на спине не проходят: куда бежать и что делать?
Прыщи на спине, особенно воспаленные, с большой долей вероятности не удастся уничтожить без устранения внутренних причин.
Так, высыпаниями на спине могут проявляться:
- проблемы с кишечником (дисбактериоз, запоры);
- заболевания печени и желчного пузыря;
- нарушения мочевыделительной функции (пиелонефрит);
- естественные гормональные колебания (половое созревание, беременность, менструальный цикл);
- гинекологические заболевания;
- болезни щитовидной железы;
- некоторые неврологические проблемы (невралгии);
- собственно заболевания кожи (псориаз, экзема, дерматиты).
Проблема со стойкими прыщами требует всестороннего обследования и комплексного лечения. Начать стоит с посещения дерматолога для исключения кожных болезней и получения рекомендаций по уходу за кожей.
Врач назначит необходимые анализы и даст направления к другим специалистам.
Для женщин первоочередная задача – обследование у гинеколога. Симптомами, говорящими о гормональной природе прыщей у женщин, являются нарушения цикла, бесплодие, ожирение, гирсутизм.
Следующий обязательный пункт медицинского маршрута – эндокринолог и гастроэнтеролог.
Если прыщи чешутся, скорее всего, это задача для дерматолога и аллерголога, кожным зудом могут проявляться болезни печени и нервные расстройства. Болезненные высыпания – работа гормонов и результат зашлакованности организма.
Профилактика
Как известно, лучшее лечение болезни – это ее профилактика.
Предотвратить развитие высыпаний на спине, вызванных внешними причинами, не составляет огромного труда:
- соблюдайте чистоту кожи спины;
- носите одежду из натуральных тканей, следите за свежестью нательного белья;
- проведите ревизию косметики, избавьтесь от камедогенных средств;
- никогда не выдавливайте прыщи, чтобы не разносить инфекцию по всей спине;
- не делайте пилинги, если на теле есть воспаленные прыщики;
- откажитесь от пищи, провоцирующей жирность кожи;
- регулярно посещайте косметолога, делайте чистку пор;
- не запускайте хронические болезни.
| Помните, что чистота кожи – в ваших руках. При соблюдении всех рекомендаций вам не стыдно будет надеть платье с открытой спиной или похвастаться обнаженным торсом в спортзале. | |
Источник









